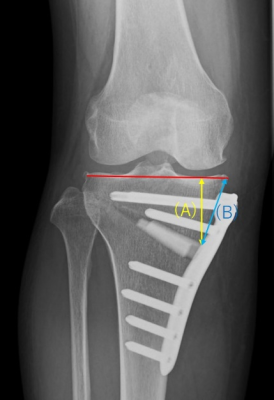
内側開大式高位脛骨骨切り術(OW-HTO)では、MCL浅層の解離が必須です。MCL解離直後は内側が緩むが、骨切り部開大後は術前と同等になるとの報告がある一方、内側がややタイトになるという報告もあり、術前後における内側laxityの変化を定量的に検討した報告は限られていました。本研究では、OW-HTO前後における内側laxityの変化について定量的に検証し、その影響因子や臨床成績との関連などを調査しました。術前とOW-HTO後1年時の外反ストレス(15㎏)膝正面XpにおけるJLCAや関節裂隙幅などを計測しました。結果は、12例/40例(30%)において、内側関節裂隙の開大を伴う1度以上のJLCAの変化(内側の緩み)を術後に認めました(図A)。術前後の内側laxityの変化(ΔJLCA)に有意に相関を認めた因子は、骨切り高位(Distance AとB)であり、ΔJLCA > 1°のカットオフ値はDistance Aで35mm、Distance Bで39mmであった。一方、ΔJLCAは術後1年のKOOSとの有意な関連は認めず、臨床的意義に関しては今後の課題です。関節面に近い骨切りでは、MCLの解離もより近位となることが術後の内側の緩みの原因となったかもしれないと結論付けました(Soejima Y, Akasaki Y, et al. KSSTA 2021)。

図A


図B

